Radiologia Odontológica Digital em Recife: Precisão e Tecnologia para Diagnósticos Odontológicos
A FaceImagem une ciência e tecnologia para proporcionar diagnósticos por imagem de alta precisão.
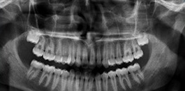
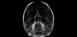
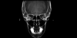
Com 6 unidades estrategicamente localizadas no Grande Recife, oferecemos exames de radiologia odontológica digital e tomografia computadorizada volumétrica de feixe cônico.
Desde nossa primeira unidade em Boa Viagem, inaugurada em 2000, expandimos nossa presença para melhor atender nossos pacientes. Em 2003, abrimos a segunda unidade no Derby e, em 2007, instalamos nosso primeiro tomógrafo computadorizado volumétrico de Feixe Cônico. Em 2008, nos tornamos totalmente digitais, adotando a mais moderna tecnologia disponível.
Continuamos a crescer, com a abertura da moderna Unidade Aflitos em 2013, equipada com tecnologia de ponta. Em 2015, inauguramos a unidade Boa Viagem II, proporcionando ainda mais conforto e agilidade no atendimento. Em 2017, chegamos a Piedade, Jaboatão dos Guararapes, com tomografia de alta resolução. Mais recentemente, em 2021, lançamos a Unidade Rio Mar, integrada ao FaceImagem Lab, oferecendo a mais alta tecnologia em diagnósticos por imagem.
A Radiologia Odontológica Digital em Recife representa um avanço significativo na área da odontologia, oferecendo diagnósticos mais precisos e detalhados.


































